інформація про компанію

Терапевтична стоматологія:

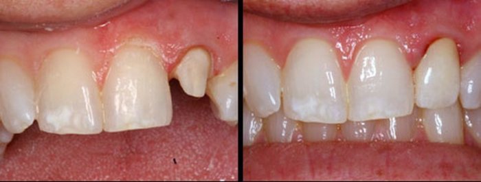
  • художня реставрація зубів з використанням сучасних полімерних матеріалів
  • лікування кореневих каналів
  • відбілювання зубів
  • лікування захворювання ясен

Ортопедична стоматологія:

  • металопластмаса
  • маталокераміка
  • безметалева кераміка
  • вініри

Хірургічна стоматологія:

  • видалення зубів
  • імплантація зубів

Ортодонтія з використанням сучасних брекет систем.

Косметологія:

контурна пластика обличчя

плазмотерапія (плазмоліфтинг)

.

Пропонуємо знижки:

15% знижка для інвалідів ВВВ, інвалідів праці І - ІІ груп, репресованим, ліквідаторам аварії на ЧАЕС, пенсіонерів, учасників бойових дій.

10% знижка для студентів ВНЗ, ПТУ, школярів, вчителів, лікарів, спортсменів.

 

Ключові слова: Віктор Дім, естетична стоматологія, хірургічна стоматологія, терапевтична стоматологія, ортопедична стоматологія, загальна стоматологія, ортодонтична стоматологія, стоматологічні послуги, рентген зубів, дитяча стоматологія, комп'ютерна томографія зубів, ін'єкції краси , чистка обличчя, лазерна косметологія, депіляція
Спеціалізація: Стоматологічна клініка. Весь спектр стоматологічних послуг.

галерея

Задати питання компанії

Для того, щоб залишити питання, Вам необхідно авторизуватись

Відгуки

Нажаль ще ніхто не залишив відгук

інші адреси

м. Івано-Франківськ, Чорновола, 101